

こんにちは。
今回は当院の最近の矯正症例を見ていただきます
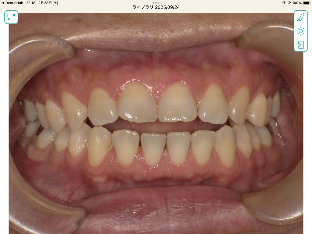
主訴 開咬をなおしたい
治療方法 インビザライン(マウスピース矯正)
費用 検査費用:25000円 治療費: 600000円(消費税なし)
*値上げ前の費用です

治療開始

開咬改善

まだ矯正途中ですが、2ヶ月で開咬を改善出来ました。(矯正担当は村本先生)
従来型のブラケット矯正(ワイヤー矯正)では短期改善は難しい症例と思います。
マウスピース矯正ならではの改善症例と思います。
開咬は難易度によりますが、マウスピース矯正が得意としています。
重度開咬症例の場合は佐賀先生の3次元ブラケット矯正になる場合があります。
当院はデジタルを駆使したマウスピース矯正と3次元ブラケット矯正を得意としています。
またほぼ全て症例が2年以内に終了、かつ非抜歯で完了しています(親知らずは抜歯します)
矯正相談は院長 村本先生 佐賀先生の3名の歯科医師で受けることが出来ます。
矯正治療をお考えの患者様は当院までご相談下さい。
うおざと歯科 院長